
Retinierte Zähne sind Zähne, die das Zahnfleisch nicht durchbrochen haben. Hierbei bieten sich oft mehrere Therapiemöglichkeiten an.
Diese retinierten Zähne, oft Eckzähne oder Prämolaren, können operativ entfernt werden. In günstigen Fällen können diese Zähne jedoch chirurgisch freigelegt werden und durch kieferorthopädische Maßnahmen in den Zahnbogen eingereiht werden.

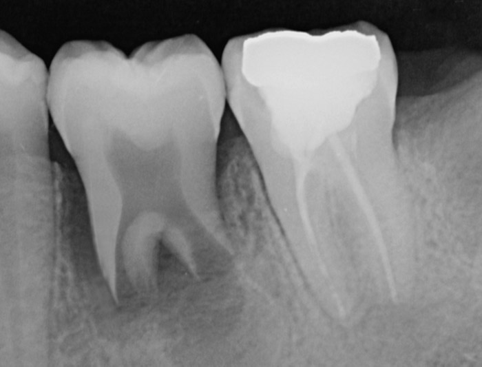
Oft kann eine Wurzelspitzenresektion nach erfolgloser Wurzelbehandlung als letzte Möglichkeit angesehen werden, einen Zahn noch so lange wie möglich im Kieferknochen zu behalten.
Hierbei wird ein chirurgischer Zugang zu der Spitze der Zahnwurzel erstellt. Als nächster Schritt wird die Wurzelspitze reseziert, das entzündete Gewebe entfernt und dicht verschlossen. Im günstigsten Fall wird so ein oft fraglicher Zahn wieder erhaltungswürdig.

Unter der operativen Weisheitszahnentfernung versteht man die Entfernung der hintersten Zähne der Zahnreihen. Diese ist abzugrenzen von den normalen Weisheitszahnentfernung die zwar ebenfalls ambulant und unter lokaler Anästhesie erfolgen, wobei jedoch es zu keiner chirurgischen Aufklappung kommt.
Gründe für die Entfernung dieser Weisheitszähne können unter anderem am häufigsten Dentiti odifficilis (ein erschwerter Zahndurchbruch), verlagerte Positionen als auch die aus kieferorthopädischer Notwendigkeit der Entfernung sein.

Unter der Transplantation eines Zahnes versteht man die Autotransplantation dh die Einpflanzung eines autologen Zahnes in eine neue Alveole.
Am häufigsten ist die Weisheitszahntransplantation in die Alveole von zumeist nicht erhaltungswürdigen ersten Molaren. Wird der richtige Zeitpunkt des Wurzelwachstums verwendet, kann sich der transplantierte Zahn zu einem wieder vitalen und vollwertigen Zahn entwickeln.

In der Kieferorthopädie ist es üblich, Zähne und gewisse Hilfsapparate zu verwenden, entweder intra- oder extraoral, um gewisse Bewegungen kontrolliert durchzuführen.
Die Möglichkeiten dieser Bewegungen sind hier teilweise begrenzt. Um diese Grenzen zu überwinden gibt es die so genannten Temporary Anchorage Devices (TAD), also vorrübergehen Verankerungshilfen welche chirurgisch eingesetzt werden, anzuwenden. Falls es im Zuge Ihrer kieferorthopädischen Behandlung notwendig wird, TAD anzuwenden, informieren wir sie gerne über den Ablauf.
Für Kollegen die bestimmte Verankerungen wünschen wie zB Button Top oder Bracket Top Verankerungen in den verschiedenen Durchmesser und Längen, im Oberkiefer als auch im Unterkiefer, begrüßen wir zur Kontaktaufnahme, wir übernehmen gerne die 3D Planung, Bohrschablone und Insertion für Sie.
Jerusalemgasse 30 | 1210 Wien
Telefon: (01) 257 44 88
ordination@omar-hamid.com
Montag: 9:00 – 20:00 Uhr
Dienstag 8:00 – 14:00 Uhr
Mittwoch: keine Ordination
Donnerstag: 9:00 - 14:00 Uhr
Freitag: 8:30 – 16:00 Uhr