
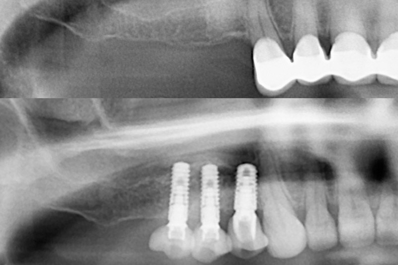
Wenn Zähne längere Zeit fehlen, kommt es zu einer Knochenresorption des Kieferkammes in Breite oder Höhe. Werden dann Implantate gewünscht, kann es sein, dass ein Knochenaufbau nötig wird.
Hierbei gibt es verschiedene Techniken wie Grafting, Ridge Splitting oder Sinuslift. Ist jedoch noch ein geringer Teil von Knochen vorhanden, besteht die Möglichkeit von Kurzimplantaten. Um die Möglichkeiten dieser Therapien abzuschätzen ist eine genaueste Diagnostik wichtig.

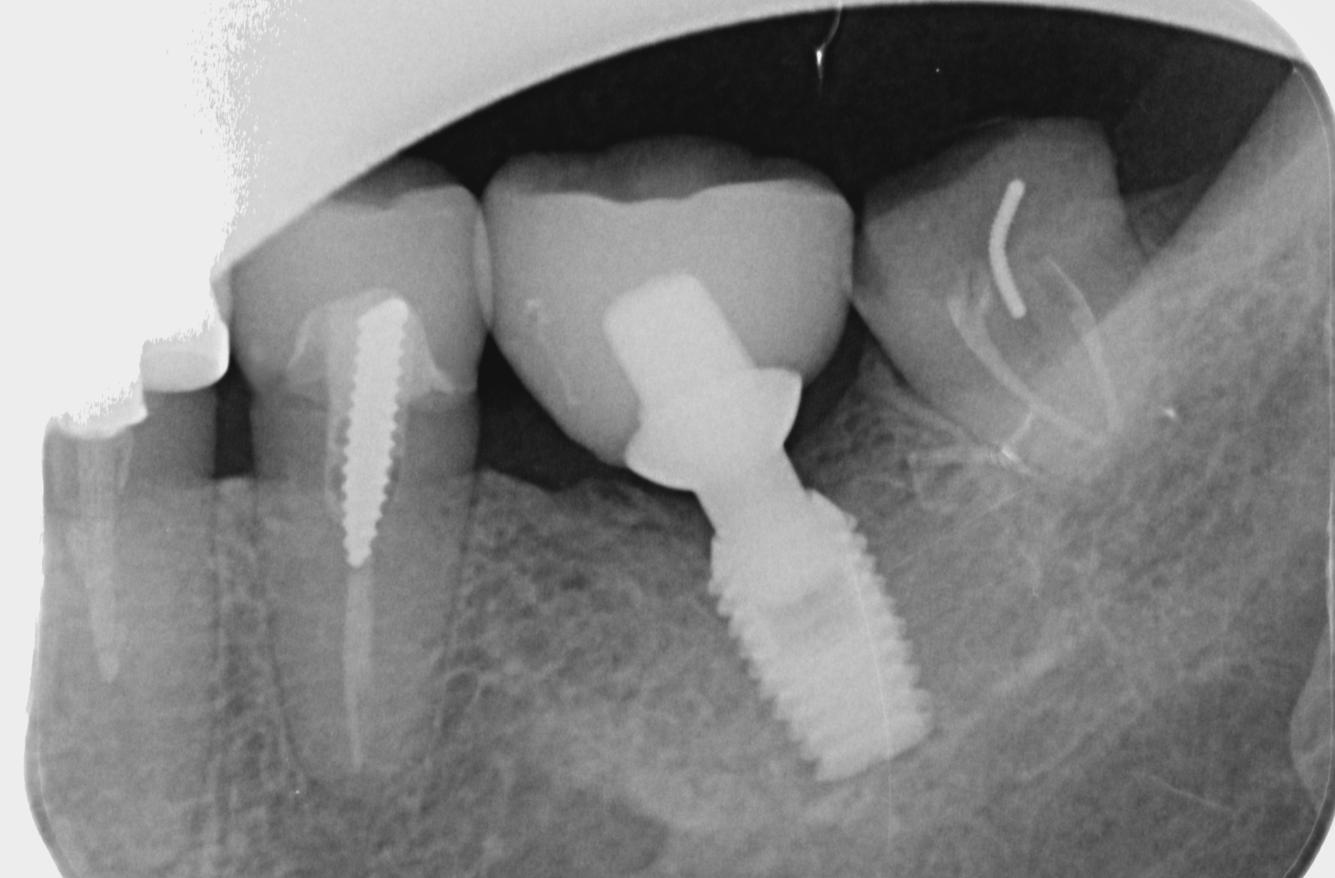
Wenn Zähne längere Zeit fehlen, kann es dadurch bedingt zu einer Knochenresorption kommen. In weiterer Folge kann es sein, dass zu wenig Knochen für ein Implantat vorhanden ist. Oft werden dann aufbauende Operationen wie Knochenerweiterung oder Knochenaufbau nötig.
Manchmal kann es jedoch auch sein, dass noch genug Knochen vorhanden ist und man sich diese zusätzlichen Operationsschritte erspart. Lassen Sie sich bei einem Beratungsgespräch über die Möglichkeit von Kurzimplantaten beraten.

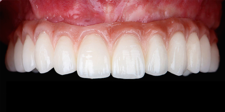
Falls Sie einen besseren Halt ihrer Prothesen wünschen, bietet sich die Möglichkeit der Verankerung ihrer Prothesen durch Implantate an.
Selbst in schwierigen Fällen wird oft eine Verbesserung erzielt und Prothesenkleber wird nicht mehr notwendig sein. Fragen Sie bei einer Beratung nach!
Jerusalemgasse 30 | 1210 Wien
Telefon: (01) 257 44 88
ordination@omar-hamid.com
Montag: 9:00 – 20:00 Uhr
Dienstag 8:00 – 14:00 Uhr
Mittwoch: keine Ordination
Donnerstag: 9:00 - 14:00 Uhr
Freitag: 8:30 – 16:00 Uhr